Home » Services » Special Stains
Services - Special Stains
NAME OF STAIN / METHOD USED
• Acid Mucopolysaccharides / Colloidal Iron Modification
• AFB Stain / Ziehl-Neelsen's Method
• AFB / Fite’s Method
• Alcian Blue (for mucin) / Alcian Blue, pH 2.5
• Argentophile Granules / Fontana's Masson Stain
• Bodian Stain (nerve fibers) / Bodian's Method
• C.N.S. for Muscle Tissue / PTAH Method
• Calcium Stain / Kossa Method
• Congo Red for Amyloid / Congo Red Method
• Copper Stain / Rhodanine Method
• DNA Stain / Feulgen Reaction
• Elastic Fibers / Orcein-Giemsa (O.G.)
• Elastic Fibers / Van Gieson Method (EVG)
• Fat Stain / Oil Red O Method
• Fe Stain / Gomori's or Perl's Method
• Fungus Stain / Grocott's Method (GMS)
• Giemsa Stain / May Grunwald (modified)
• Gram positive/negative / Brown - Brenn Method
• Helicobactor (HP) / Giemsa's Method
• Mast Cells Stain / Toluidine Blue
• Melanin Bleach / Lillie's Method
• Mucicarmine Stain / Mayer's Mucicarmine
• Myelin Stain / Luxol Fast Blue
• Pap Stain / OG 6 & EA 50
• PAS Stain / Periodic Acid Schiffs
• PAS with Digestion / Lillie's Method
• Reticulum Stain / Snook's Method
• Spirochete / Steiner's Method
• TRI (connective tissue) / Masson's Trichrome
|
| |
| |
| |
 |
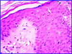
H&E Stain |
| |
| |
 |
EVG Stain |
| |
| |
 |
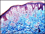
TRI Stain |
| |
|
The above is our standard list of special stains that we offer. We can usually accommodate other types of stains upon request.
|